Воробьев поведал о трагедии, которая навсегда изменила его жизнь
Три года назад Алексей пережил страшную аварию, о последствиях которой он рассказал поклонникам

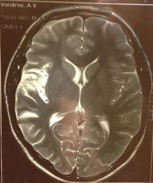
Стоит напомнить, что в конце января 2013 года появилась новость о том, что Воробьев попал в ДТП в Лос-Анджелесе. Так же сообщалось, что после аварии у молодого человека оказалась парализованной левая часть тела. Тогда писали много небылиц по этому поводу, некоторые вообще не верили в происшествие и считали, что это очередной пиар-ход. Сегодня Алексей рассказал, как чувствует себя после случившегося и как изменилась его жизнь.
«От „точки невозврата“ прошло 3 года и несколько дней. Жизнь удивительная штука, я вам скажу. Мой поражённый на 25% мозг работает ещё быстрее, чем когда-либо. Я бегаю, прыгаю, пою и танцую, пишу музыку, снимаюсь в кино и снимаю его сам. И иногда на концертах пою мимо нот, так как больше не слышу этого, потому что восстановиться на 100% уже невозможно. Иногда не могу подняться по лестнице, потому что сердце так колотится, что чуть не разбивает грудную клетку изнутри, приходится сидеть на ступеньках, смотреть на подрагивающие руки и, смеясь над собой, мечтать о законопроекте, который вообще отменит лестницы:) Пью таблетки для разжижения крови, и живу полной жизнью, — каждый день, не ограничивая себя ни в чем. Организм перестал нуждаться в отдыхе, и вообще перестал требовать время на сон без снотворного, и это дарит много времени, которое не хочется терять. Мне повезло быть молодым, когда случился инсульт, и ещё больше повезло остаться жить. Я научился ценить жизнь и время, которое нам всем отведено на земле. Жизнь действительно удивительная штука, и она, действительно, похожа на коробку конфет, — иногда эти конфеты горькие, и дарят только боль, иногда — сладкие, как поцелуй любимой женщины… Но эта коробка никогда не пуста. Я совершенно точно понял одно- если и есть Бог, то он очень любит меня:)» — откровенно написал артист.

Поклонники восхитились искренностью и мужеством своего кумира и написали ему много слов поддержки. «Слова сильные, до слёз. Ты не только прекрасный актер и певец, но и замечательной души человек. Не болей, будь счастлив. — Выразили свое мнение фаловеры. — Восхищаюсь сильными мужчинами, сумевшие не только не сломаться, а стать ещё сильнее».

















